RESTORATIVE Dentistry IN WAIMEA

When teeth need repair or replacement, our goal is to restore strength, comfort, and confidence—while keeping your smile looking natural and feeling like your own.

Book An Appointment

Comfortable, Lasting Solutions

At Waimea Tooth Co., our restorative dental services are designed to meet the unique needs of each patient. Using advanced technology and modern techniques, we deliver care that not only restores function but also enhances the natural beauty of your smile.

Fillings

Tooth-colored fillings are a reliable solution for treating cavities and repairing damaged teeth. We use high-quality composite materials that blend seamlessly with your natural teeth, restoring both strength and appearance for a healthy, confident smile.

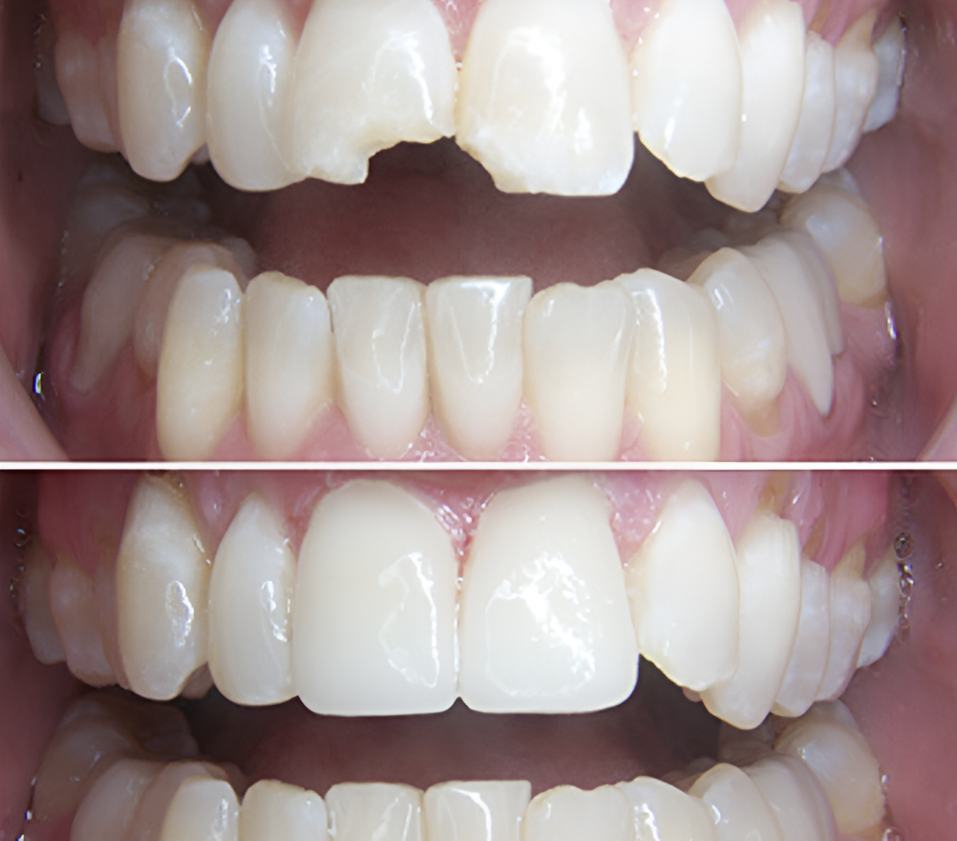
Crowns

Dental crowns are a versatile solution for protecting and restoring weakened or damaged teeth. At Waimea Tooth Co., we take it a step further with CEREC same-day crowns—designed, milled, and placed right here in our office in about 90 minutes from start to finish. That means no multiple appointments, no temporary crowns, and a beautiful, custom-fit restoration in just one visit.

We offer natural-looking, tooth-colored crowns that blend seamlessly with your smile, as well as durable gold options for patients who need extra strength. With CEREC technology, you get high-quality, long-lasting results quickly and conveniently, so you can leave our office with a fully restored, confident smile the same day.

Bridges

Bridges are an excellent option for replacing one or more missing teeth. Anchored to adjacent teeth, they fill gaps seamlessly and restore your ability to eat, speak, and smile with confidence. Our bridges are carefully crafted to match your natural teeth for a flawless finish.

Root Canals

When a tooth is severely damaged or infected, root canal therapy can save it. Our experienced dentists perform this procedure with precision and care, relieving discomfort while preserving your natural tooth whenever possible.

Dental Bonding

Dental bonding is a quick and effective way to fix minor imperfections like chips, cracks, or gaps. Using high-quality composite resin, we restore the function and appearance of your teeth, giving you a smooth, natural-looking finish.

Dentures

For patients missing multiple teeth, dentures offer a fully customized solution. Our partial and full dentures are designed for comfort, functionality, and aesthetics, helping you chew, speak, and smile with confidence again.

RESTORING CONFIDENCE

LET’S Restore YOUR SMILE

When teeth are damaged or missing, modern restorative care can make all the difference. We combine advanced technology with thoughtful care to rebuild your smile.

Call Now (808) 885-8617