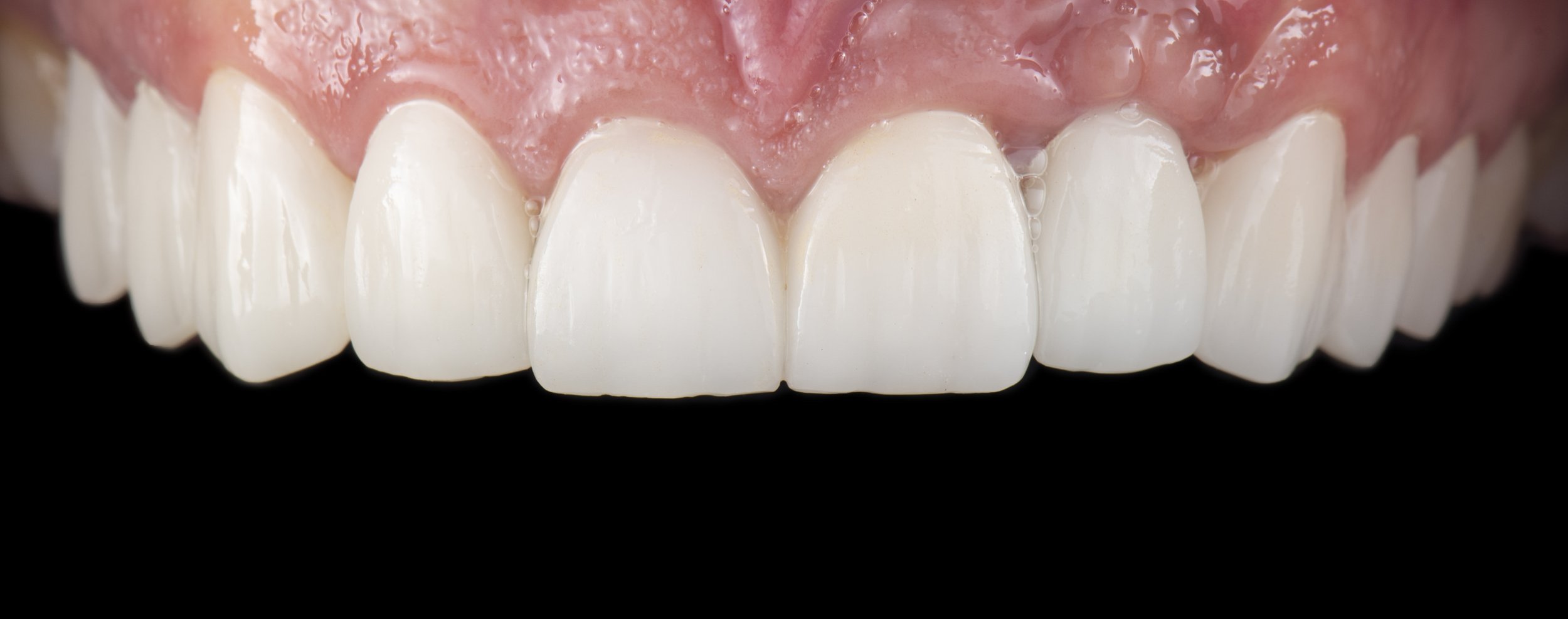
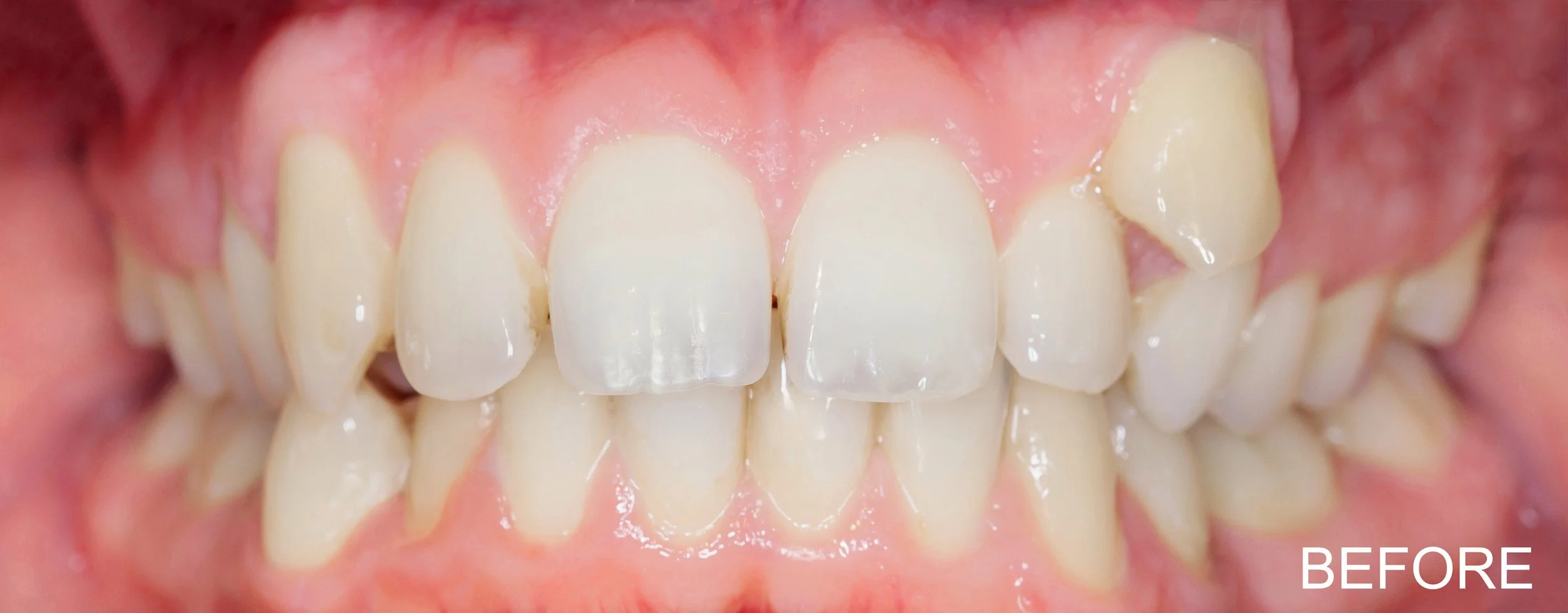
SMILE GALLERY
REAL Smiles REAL RESULTS
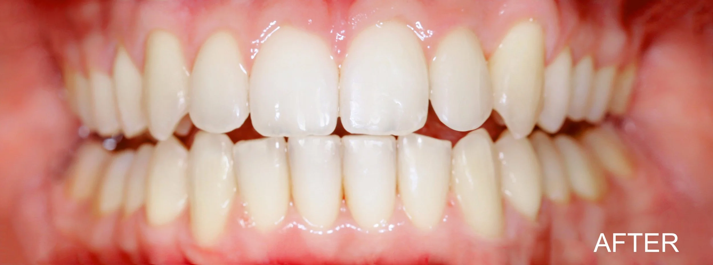
Every smile tells a story. Below are real patient transformations completed right here at Waimea Tooth Co., using modern techniques, gentle care, and a personalized approach.
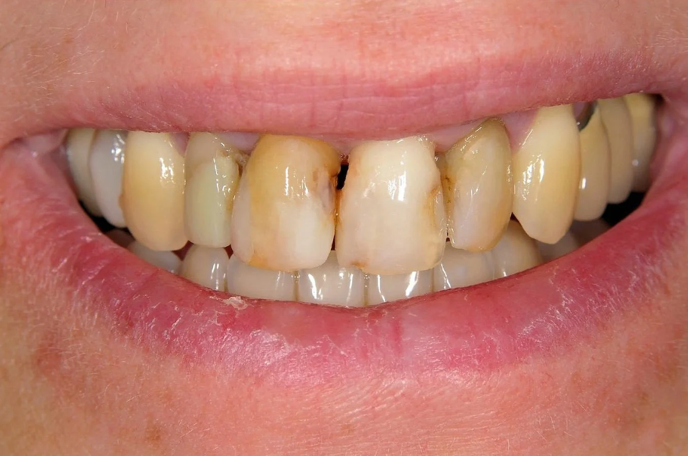
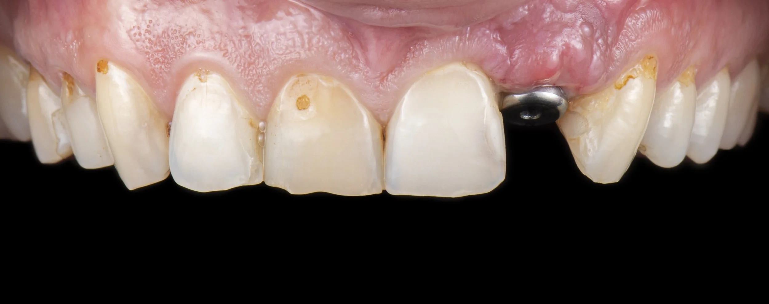
SMILE GALLERY
Every smile tells a story. Below are real patient transformations completed right here at Waimea Tooth Co., using modern techniques, gentle care, and a personalized approach.